Unser „All-on-Konzept“

Implantatgetragene Versorgungen im All-on-Konzept

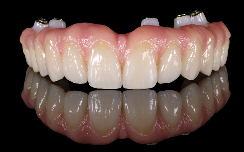
Zirkon Zahnersatz für feste Zähne und neue Lebensqualität

Das Dentallabor G. Fuchs ist spezialisiert auf implantatgetragene Versorgungen im All-on-Konzept aus Zirkon.

Als Dentallabor mit Fokus auf All-on-Konzept, Zirkon und Implantattechnik fertigen wir hochwertige, langlebige und ästhetisch anspruchsvolle Zahnersatzlösungen für Zahnärzte in Deutschland und Luxemburg.

Unsere All-on-Konzept-Arbeiten stehen für maximale Präzision, Stabilität und eine natürliche Ästhetik auf höchstem Niveau.

Was ist das All-on-Konzept?

Das All-on-Konzept beschreibt eine feste, verschraubte Versorgung auf Implantaten.
Mit dem All-on-Konzept erhalten Patienten implantatgetragenen Zahnersatz aus Zirkon – funktional, stabil und ästhetisch anspruchsvoll.
Gerade bei reduziertem Restzahnbestand ermöglicht das All-on-Konzept eine sichere und langfristige Versorgung.

 

All-on-Konzept
All-on-Konzept
All-on-Konzept
R

Vorteile des All-on-Konzepts mit Zirkon

  1. Fester Zahnersatz auf Implantaten
  2. Hohe Stabilität durch Stegkonstruktion in Kombination mit Zirkon-Versorgung
  3. Natürliche Ästhetik
  4. Langlebige Versorgung
  5. Hoher Tragekomfort

Das All-on-Konzept in Kombination mit einer präzisen Stegkonstruktion und hochwertigem Zirkon gehört zu den stabilsten und ästhetisch anspruchsvollsten Lösungen in der modernen Implantatprothetik.

 

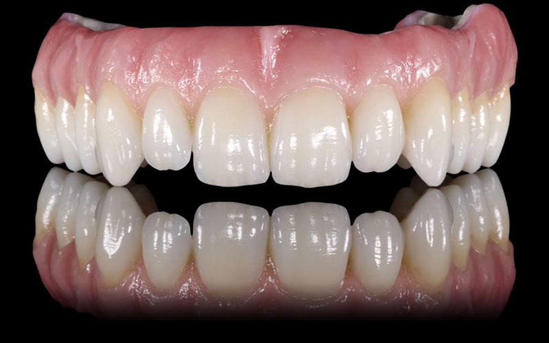
Zirkon im All-on-Konzept – Ästhetik und Stabilität vereint

Zirkon ist das zentrale Material für hochwertige All-on-Konzept-Versorgungen.
Zirkon überzeugt durch hohe Festigkeit, Biokompatibilität, natürliche Lichtdynamik und eine ästhetische Wirkung ähnlich natürlicher Zähne.
Im Dentallabor G. Fuchs verwenden wir unter anderem Prettau® 2 dispersiv von Zirkonzahn.

Digitale Zahntechnik im All-on-Konzept

Jede All-on-Konzept-Versorgung wird digital geplant und präzise umgesetzt.

Durch den Einsatz moderner CAD/CAM-Technologie sowie Systeme wie FaceHunter und PlanFinder entstehen passgenaue Versorgungen aus Zirkon im All-on-Konzept.

Die Unterkonstruktion im All-on-Konzept – Stabilität durch präzise Stegtechnik

Die Unterkonstruktion ist ein zentraler Bestandteil jeder All-on-Konzept-Versorgung.
Im Dentallabor G. Fuchs wird diese als präzise gefertigte Stegkonstruktion umgesetzt, die eine spannungsfreie Passung und eine sichere Verbindung gewährleistet.
In Kombination mit Zirkon entsteht eine stabile und langlebige Versorgung. 

Individuelle All-on-Konzept-Lösungen aus Zirkon

Jede Versorgung wird individuell umgesetzt.
Beispielsweise als steggestützte Versorgung oder Double-Screw-verschraubte Brückenkonstruktion.
Auch Unit Abutments kommen gezielt zum Einsatz, um optimale Ergebnisse zu erzielen.
Weitere individuelle Lösungen sind je nach Situation möglich.

Aquarell Boost – natürliche Ästhetik im Zirkon

Durch die Infiltration mit Colour Liquid Prettau® Aquarell Boost wird das Zirkon bereits vor dem Sintern eingefärbt.
So entstehen natürliche Farbverläufe und eine lebendige Ästhetik mit Tiefenwirkung.

Dentallabor für All-on-Konzept, Zirkon und Implantattechnik

  1. Spezialisierung auf All-on-Konzept
  2. Zirkonarbeiten auf Implantaten
  3. Digitale Zahntechnik
  4. Individuelle Lösungen
  5. Enge Zusammenarbeit mit Zahnärzten

Jetzt Beratung zum All-on-Konzept anfragen

Kontaktieren Sie uns für hochwertige implantatgetragene Versorgungen auf höchstem Niveau.